Eriopezia caesia?

#1
Hallo! Ich bräuchte bitte wieder Hilfe bei der Bestimmung von einem Ascomyceten.
Meine Vermutung ist Eriopezia caesia
Ich habe keinen guten Schlüssel um anderes auszuschließen.

Hollabrunn, 03.03.2026
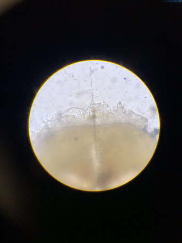
Eichenstamm (Totholz) Unterseite

Fruchtkörper ~0,5mm Durchmesser
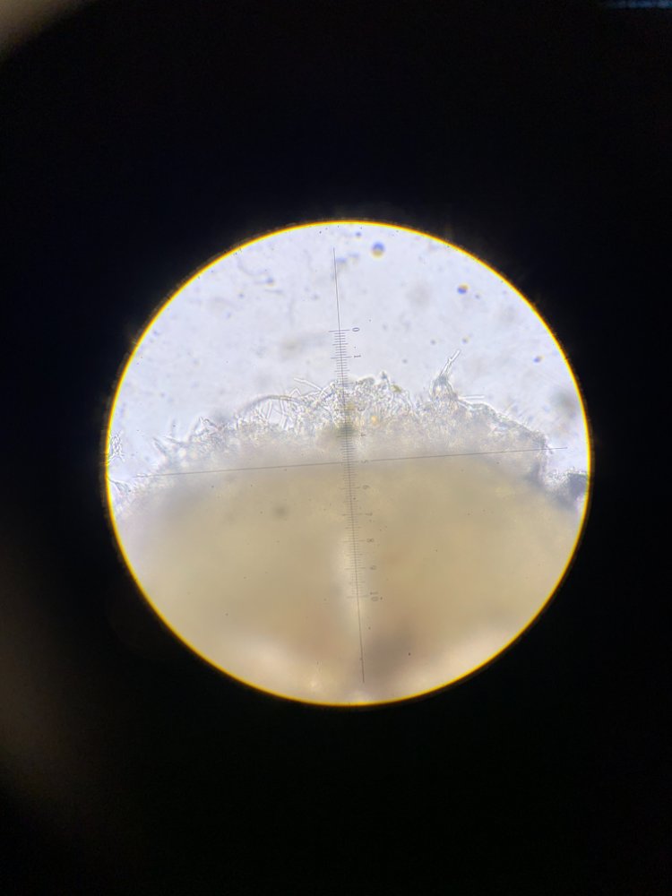
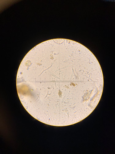
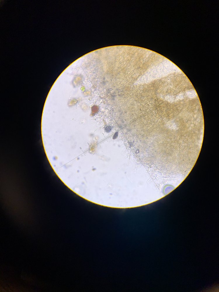
Haare im Marginalbereich: ~50-100µm lang, unregelmäßig geformte hyaline Hyphen, wirr, teilweise hyphen leicht granuliert
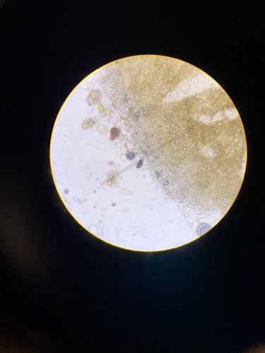
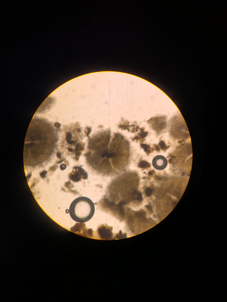
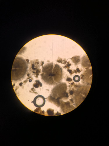
Excipulum: Zellen kugelig, braun
Paraphysen: schlank, hyalin
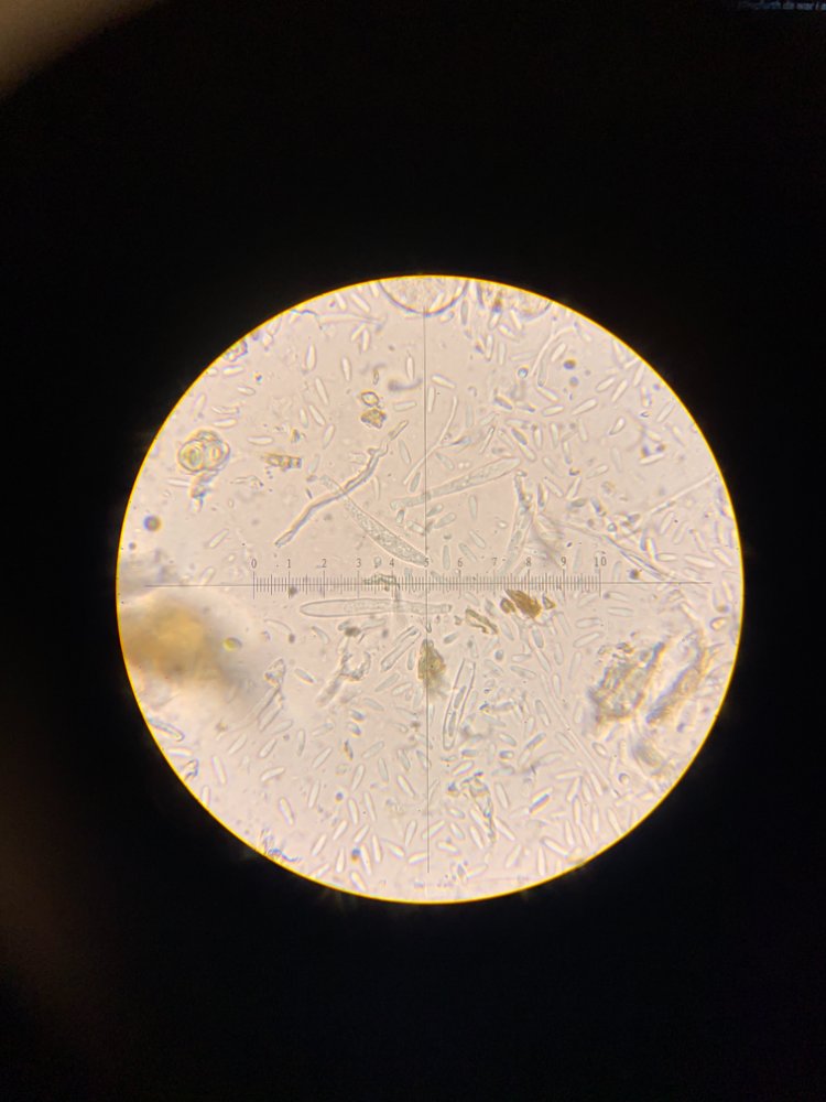
Asci: Melzer blau, 8-sporig
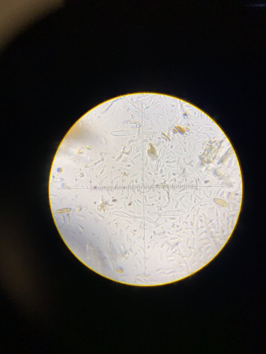
Sporen: Tropfenförmig, hyalin
Me = 7,1 x 2,2 µm, Qe = 3,2
n=20


LG Fabian
Dateianhänge
IMG_8477.JPG
IMG_8476.JPG
IMG_8475.JPG
IMG_8474.JPG
IMG_8473.JPG
IMG_8472.JPG
IMG_8471.JPG
IMG_8447.JPG
IMG_8446.JPG
IMG_8445.JPG