Tremella-Funde aus Kärnten

#1
Schönen Gruß in die Runde.
Ganz kurz für die, die mich nicht kennen: bin der Matthaeus, der allerweil im Turiawald nach Pilzen suchen tut.
Es freut mich, daß die OMG ein eigenes Pilzforum aufgemacht hat, wo ich ganz gerne zwei Tremella Funde vorstellen möchte, die ich
im Frühjahr in Kärnten gefunden habe. Leider konnte ich sie nicht mit Sicherheit bestimmen.
Ich war heuer bei der Frühjahrsexkursion des Naturw. Vereins f. Kärnten beim Hörzendorfer See und habe auf einem, sehr wahrscheinlich
Haselstrauchästchen, eine Tremella mesenterica im Hefestadium und eine Tremella indecorata im perfekten und im Hefestadium gefunden. Das hat mich irritiert, weil ich nur mit einer Tremella Art gerechnet habe. Auf jeden Fall habe ich bei der vermeintlichen T. indecorata Mikrokonidien gefunden, die passen könnten.
Ich hoffe, daß einer aus dem Forum schon öfter T. indecorata gefunden hat und mir sagen könnte, ob ich da richtig liege.
Hier mal ein paar Fotos:
pyreno-on-corylus.jpg
tremella-indecorata-1.jpg
tremella-indecorata-2.jpg
tremella-indecorata3.jpg
tremella-indecorata-4.jpg
hoerzendorfer-see-k2.jpg
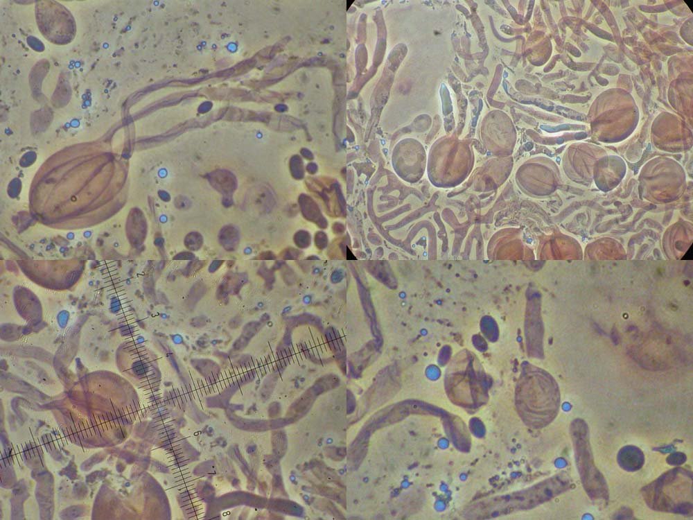
Noch immer im Frühjahr, im April, habe ich in den Drau-Auen auf Laubholz, vermutlich Weide, dann eine weitere Tremella gefunden,
die ich nicht einordnen kann. Basidien ohne Schnallen, mit 2 bzw. mit 4 Sterigmen, Sporen oval, von 10-12 x 6-7 my. Hyphen ohne Schnallen.
Mikroskopisch auffallend waren hier gelbe bis gelbbraune inkrustierte "Hyphidien". Habe dabei ähnliche Mikrokonidien wie bei meiner vermeintlichen
T. indecorata gefunden.
tremella-species-on-salix.jpg
tremella-species-on-salix2.jpg
tremella-species3.jpg
tremella-species4.jpg
Weil ich alles anschaue, was ich finde, bin ich natürlich nirgends firm. Von daher sind mir Eure Kommentare sehr willkommen.

LG,
Matthaeus
cron