hallo in die Runde
diese Woche war ich auf ca. 1500m mit zwei anderen Pilzkollegen unterwegs. Leider herrscht bei uns nach wie vor sehr große Trockenheit und so muss man schon sehr gezielt suchen, um ein paar Pilze zu finden. So fanden wir auch hier am Rande eines Güterweges mit steiler Böschung, fast Dauerbeschattung durch Fichten an der gegenüberliegenden Seite und etwas Bergdruck eine Stelle, wo gleich einiges zu finden war (Pulvinula convexella, Capitotricha bicolor und rubi, Hemimycena crispata an alten Farnwedeln, Hemimycena gracilis, Laccaria montana, Peniophora aurantiaca, Russula queletii etc.) und das alles nur in einem relativ kleinen Radius. Davor und danach so gut wie nichts. 
Nun habe ich noch ein paar bisher nicht bestimmbare, u. a. zwei komplett weiße:
Entoloma spec. 
ein kleiner einzelner Pilz, den ich makroskopisch niemals als Entoloma erkannt hätte. Ich tippte auf Mehlschirmling oder Hemimycena, die große Überraschung brachte dann das Mik. mit den Enotloma-Sporen. Trotz langer Suche in Literatur und Internet, bin ich nicht weiter gekommen. 
Habitat (Ergänzung zu oben): Grünerlen, Wurmfarn spec., Gras, Moose und Kräuter
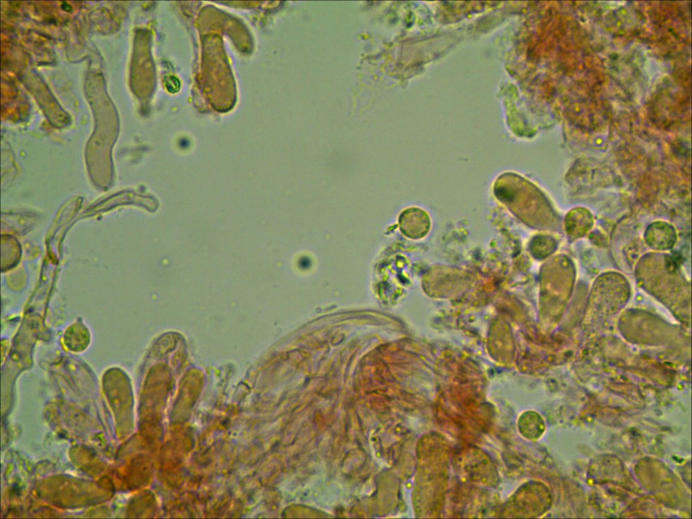
Hut 5 mm Durchm., wie mit Hochglanzpuder bis über den Rand bestäubt (schwierig zu beschreiben und fotografieren), auch der Stiel weiß mit winzigen Flöckchen; L. dicklich, stark untermischt und entfernt; Basidien 2- und 4-sporig - siehe Fotos
ich freue mich über jeden Tipp!
					
															
																				
					
					
																													Re: kleine weiße an Feuchtstelle
#2Arbeitsname "Crepidotus Erde"
habe auch Arrhenia, Campanella, Phyllotopsis, Pleurotus, Clitopilus usw. angeschaut. Sporenpulverabwurf schaffte ich leider keinen, so weiß ich nicht, ob es sich um Weiß- oder Rosasporer handelt. Inzwischen sind die Pilze getrocknet und haben jetzt eine rahmgelbliche Farbe mit etwas dunkleren LS. Die Lamellen sind relativ gut ausgeprägt, wenn auch dicklich und nicht immer bis in die Mitte; Anastomosen keine gesehen; Oberseite wie Crepidotus, ganz junge Frkp. wie Schüsselseitling.
ich bin schon sehr auf Meinungen, Ideen usw. gespannt!
liebe Grüße
Uschi
					
															
																				
											
					
					
																																																			
					habe auch Arrhenia, Campanella, Phyllotopsis, Pleurotus, Clitopilus usw. angeschaut. Sporenpulverabwurf schaffte ich leider keinen, so weiß ich nicht, ob es sich um Weiß- oder Rosasporer handelt. Inzwischen sind die Pilze getrocknet und haben jetzt eine rahmgelbliche Farbe mit etwas dunkleren LS. Die Lamellen sind relativ gut ausgeprägt, wenn auch dicklich und nicht immer bis in die Mitte; Anastomosen keine gesehen; Oberseite wie Crepidotus, ganz junge Frkp. wie Schüsselseitling.
ich bin schon sehr auf Meinungen, Ideen usw. gespannt!
liebe Grüße
Uschi
Re: kleine weiße an Feuchtstelle
#3Hallo, Uschi,
beim Rötling würde ich als erstes mal in Richtung E. sericellum / E. percandidum schauen.
Der "Crepidotus" sieht verdächtig nach Rimbachia, insbesondere R. bryophila, aus.
Schöne Grüße
Gernot
					
															
																				
					
					
																																																			
					beim Rötling würde ich als erstes mal in Richtung E. sericellum / E. percandidum schauen.
Der "Crepidotus" sieht verdächtig nach Rimbachia, insbesondere R. bryophila, aus.
Schöne Grüße
Gernot
Re: kleine weiße an Feuchtstelle
#4danke Gernot,
die Rimbachia bryophila passt, hatten wir in Vlbg. erst einmal beim ARGE-Seminar 2016. Meine Sp. sind eher etwas größer als in der Literatur meist angegeben, aber sonst passt alles und ich bin mir sicher, dass es sich um diese Art handelt. Bezüglich der Entoloma schaue ich morgen.
danke und schöne Grüße
Uschi
					
															
																				
					
					
																																																			
					die Rimbachia bryophila passt, hatten wir in Vlbg. erst einmal beim ARGE-Seminar 2016. Meine Sp. sind eher etwas größer als in der Literatur meist angegeben, aber sonst passt alles und ich bin mir sicher, dass es sich um diese Art handelt. Bezüglich der Entoloma schaue ich morgen.
danke und schöne Grüße
Uschi